Normal Pressure Hydrocephalus (NPH)

NPH is a buildup of cerebrospinal fluid in older adults.
there are some situations when these tumors need to be treated as soon as possible. It is important to be evaluated.

What is NPH (Normal Pressure Hydrocephalus)

Normal pressure hydrocephalus (NPH) is a progressive condition that occurs when there is too much cerebrospinal fluid (CSF) in the brain. Normally, CSF is produced inside two large cavities in the brain called ventricles. NPH occurs when the normal volume of CSF is not absorbed fast enough, causing the fluid to collect in the ventricles.

As CSF slowly builds up in the ventricles, they enlarge and stretch the brain. This can damage nearby nerve fibers that control the legs, bladder, and memory. NPH can be hard to diagnose because it can resemble other, more common causes of dementia or Parkinson’s. If diagnosed early, NPH can be treated with a shunt device that drains the excess fluid and reverses some of the symptoms.

What are the Symptoms of NPH?

Symptoms typicaly include:

  • Walking difficulty appears as an unstable or shuffled gait, a feeling that one’s feet are stuck to the floor and unable to step up.
  • Mild dementia can include memory loss, forgetfulness, and decreased attention span.
  • Urinary problems vary from frequency and urgency to actual incontinence.
Help with walking

Learn More About Normal Pressure Hydrocephalus

How is the Diagnosis Made?

  • An accurate diagnosis is important because people with NPH who go untreated are likely to continue to decline. They also are likely to suffer unnecessary loss of independence and reduced quality of life.
  • Diagnosing NPH is difficult because the symptoms and enlarged ventricles that characterize it are also seen in many other conditions.
  • NPH can resemble Alzheimer’s, Parkinson’s and vascular dementia.
  • A person who is suspected of having NPH begins consultation with a neurosurgeon or neurologist. The doctor reviews the patient’s medical history and performs a physical exam.
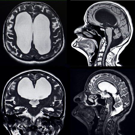
  • A computed tomography (CT) or magnetic resonance imaging (MRI) scan is ordered to look for enlarged ventricles or other signs of blockage. If the scan is normal, the patient does not have NPH.
  • Gait testing also can be used to distinguish Parkinson’s from NPH. People with NPH tend to have an ataxic gait — a wide, penguin-like walk in which the legs are stiff and the foot may drag and catch — whereas people with Parkinson’s tend to walk with small, shuffling steps.
  • If NPH remains a possible diagnosis, the patient is scheduled to undergo a high volume LP or lumbar drain trial.
  • A physical therapist should examine the patient before and after CSF is removed.
  • If the patient’s gait, memory, and/or incontinence improve after CSF is removed, then the patient may be a surgical candidate.

What is the Treatment and How are the Results?

  • There is no cure for NPH, and there is no medication available. However, a CSF shunt can provide symptom relief to some patients.
  • Implanted surgically, the ventriculoperitoneal shunt device removes excess fluid from the ventricles. If the lumbar drain or lumbar puncture trial is successful, the patient may be a good candidate for a permanent CSF shunt.
  • Some patients treated with a shunt will have dramatic symptom relief. Studies show that 50 to 80% of patients can expect improvement of their symptoms in the first 2 to 3 years. Other patients may have a less successful outcome.
  • Several factors determine the outcome, including the patient’s overall health, what caused the NPH to occur, and how long the patient has had NPH.
  • Early diagnosis and treatment improve the odds of having successful symptom relief with a shunt. Patients who have had symptoms for less than a year or have mild to no dementia do better than those have had symptoms for longer than a year.
  • Men, and all patients of advanced age, are less likely to show improvement in thinking and memory after a shunt operation.
  • Another study found that while significant improvement in ataxic gait and urinary incontinence can occur, improvement of dementia is uncommon.

Contact Us

Ready to learn more? Contact us today to get started.

Make an Appointment

New & Existing Patients: Request An Appointment

New and existing patients may request an appointment by filling out the form below. Someone from our team will be contacting you to schedule an appointment time.